화접몽소개
여드름/흉터
· 여드름
· 등가슴여드름
· 청소년여드름
· 여드름흉터
모낭염/지루피부염
· 모낭염
· 지루성피부염
· 엉덩이염증
사마귀
· 사마귀
· 편평사마귀
· 곤지름
· 지루각화증(검버섯)
모공각화증
습진/아토피
· 습진/한포진
· 아토피/건선
콜린성두드러기
한방성형
지점소개
· 강남본점
· 신촌점
· 노원점
· 강서목동점
· 일산점
· 부천점
· 인천점
· 대구점
· 부산점
커뮤니티
· 전후사진
· 치료후기
· 카카오톡상담
· 예약
· 이벤트
· 칼럼
· 공지사항
한국어
∨
회원가입
로그인
화접몽소개
여드름/흉터
여드름
등가슴여드름
청소년여드름
여드름흉터
모낭염/지루피부염
모낭염
지루성피부염
엉덩이염증
사마귀
사마귀
편평사마귀
곤지름
지루각화증(검버섯)
모공각화증
습진/아토피
습진/한포진
아토피/건선
콜린성두드러기
한방성형
지점소개
강남본점
신촌점
노원점
강서목동점
일산점
부천점
인천점
대구점
부산점
커뮤니티
전후사진
치료후기
카카오톡상담
예약
이벤트
칼럼
공지사항
HOME
전후사진
전후사진
치료후기
카카오톡상담
예약
이벤트
칼럼
공지사항
전후사진
치료 기간의 차이 및 붉어짐이나 가려움증 등이 발생할 수 있으니
의료진의 정확한 상담과 진단을 받아보시고 치료를 진행하시기 바랍니다.
치료 부위의 특성상 게시판에 공유하지 못한 치료사례가 많습니다.
더 많은 치료사례, 다양한 치료사례는 지점에서 안내해 드리겠습니다.
질환명
여드름/모낭염
여드름흉터
편평사마귀
사마귀
모공각화증
습진/한포진
지루성피부/두피염
아토피/건선
기타
부위
얼굴
목
등
가슴
엉덩이
배
팔
다리
손발
기타
지점명
강남본점
신촌점
노원점
강서목동점
일산점
부천점
인천점
대구점
부산점
Before
After
지루성피부염
치료기간
2개월
신촌점
Before
After
지루성피부염
치료기간
2개월
신촌점
Before
After
다리모공각화증
치료기간
3개월
신촌점
Before
After
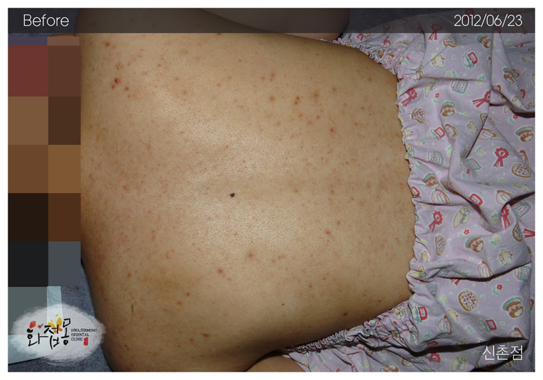
등여드름
치료기간
2개월
신촌점
Before
After
화농성여드름
치료기간
4개월
신촌점
Before
After
다리모공각화증
치료기간
3개월
신촌점
Before
After
화농성여드름
치료기간
4개월
신촌점
Before
After
손가락편평사마귀
치료기간
6개월
신촌점
41
42
43
44
45
46
서울
강남본점
신촌점
노원점
강서목동점
인천/경기
인천점
부천점
일산점
대구/경북
대구점
부산/경남
부산점
강남본점
신촌점
노원점
강서
목동점
인천점
부천점
일산점
대구점
부산점
편평사마귀 _29이벤트
편평사마귀 _39이벤트
모공각화증_팔상완
모공각화증_종아리
등가슴여드름_이벤트
한방성형_페이스코르셋
다이어트_감비환
민생지원금_사용가능
개인정보취급방침
|
이용약관
|
이메일무단수집거부
|
진료시간
|
오시는길
|
사이트맵
상호명: 화접몽한의원
강남본점 : 서울특별시 강남구 강남대로 84길 8 (02-545-7579 대표:오철) | 사업자등록번호: 211-10-46565
노원점 : 서울시 노원구 노해로492(프린스빌딩) 704호 (02-487-7579 대표:나건호) | 사업자등록번호: 212-25-76222
신촌점 : 서울 마포구 백범로 21 (02-717-7579 대표:허금정) | 사업자등록번호: 105-20-89180
일산점 : 경기도 고양시 일산동구 중앙로 1195, 로스텔 3층 (031-902-0221 대표:이원행) | 사업자등록번호: 128-39-37047
부천점 : 경기도 부천시 길주로 91 상동비잔티움 4층 401호 (032-322-8216 대표:박서연) | 사업자등록번호: 819-24-01471
부산점 : 부산시 부산진구 서면로 74 아이온시티 11층 (051-711-7836 대표:고복영) | 사업자등록번호: 602-43-26574
인천점 : 인천광역시 남동구 예술로 126 (구월동), 링크126 3층 307호 (032-215-7579 대표:김태상) | 사업자등록번호: 131-35-97247
강서목동점 : 서울특별시 강서구 화곡로 429,301 (02-3662-7579 대표:오수정) | 사업자등록번호: 773-18-00438
대구점 : 대구광역시 중구 국채보상로 598, 정호빌딩 7층 (053-635-7836 대표:한유리) | 사업자등록번호: 367-33-00575
Copyright(c) 2018 화접몽한의원 All rights reserved.